കുഞ്ഞ് വിഴുങ്ങിയ രണ്ടര ഇഞ്ചിന്റെ ആണി പുറത്തെടുത്തു
text_fieldsകുട്ടിയുടെ ചെറുകുടലിൽ രണ്ടര ഇഞ്ച് നീളമുള്ള ആണി
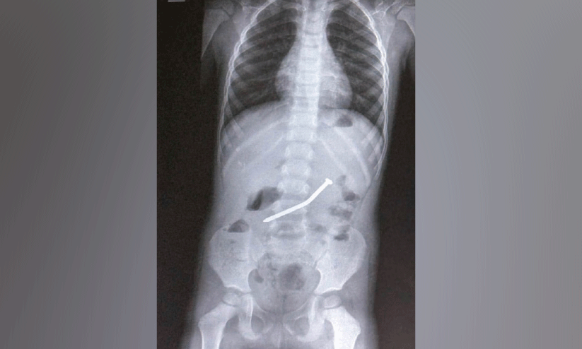
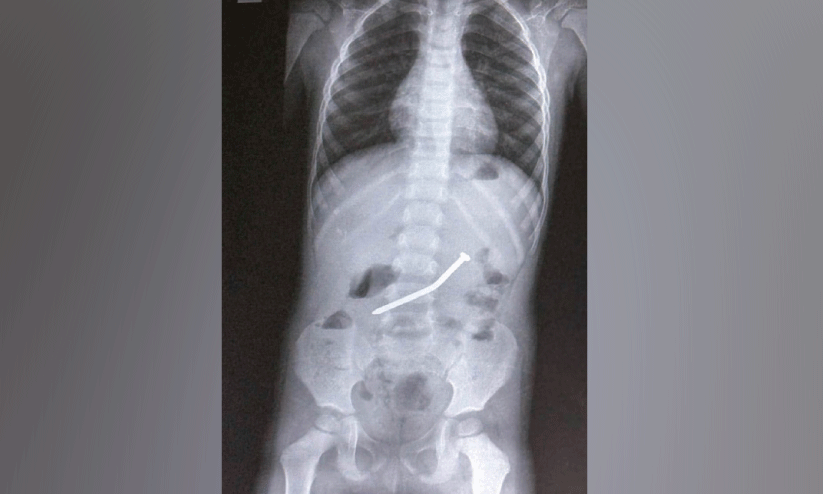
മേപ്പാടി: മുട്ടിൽ കുട്ടമംഗലം സ്വദേശികളായ ദമ്പതിമാരുടെ രണ്ടര വയസുകാരന്റെ വയറ്റിൽ അകപ്പെട്ട രണ്ടര ഇഞ്ച് നീളമുള്ള വണ്ണം കൂടിയ ഇരുമ്പാണി വിജയകരമായി പുറത്തെടുത്തു.ഡോ. മൂപ്പൻസ് മെഡിക്കൽ കോളജ് ഉദര-കരൾ രോഗ വിഭാഗം (ഗാസ്ട്രോ എന്ററോളജി) സീനിയർ സ്പെഷലിസ്റ്റ് ഡോ.ടി. ശ്രീനിവാസ് റെഡ്ഢിയാണ് ചെറുകുടലിന്റെ തുടക്ക ഭാഗത്ത്(ഡിയോഡിനം) കുത്തി നിന്ന ആണി എൻഡോസ്കോപ്പിലൂടെ പുറത്തെടുത്തത്.
വീട്ടിൽ കളിച്ചു കൊണ്ടിരുന്ന കുട്ടി കൈയിൽ കിട്ടിയ ആണി വിഴുങ്ങുകയായിരുന്നു. ഇത് കണ്ട മൂത്ത കുട്ടിയാണ് മാതാപിതാക്കളോട് വിവരം പറഞ്ഞത്. പിന്നീട് പനിയുടെ ലക്ഷണങ്ങളോടെ കൽപ്പറ്റ ജനറൽ ആശുപത്രിയിൽ പ്രവേശിപ്പിച്ച കുട്ടിയുടെ എക്സ്റേ വീണ്ടുമെടുത്തപ്പോൾ നേരത്തേ കണ്ട സ്ഥലത്തുനിന്നും ആണിയുടെ സ്ഥാനം മാറാത്തതിനെ തുടർന്ന് വിദഗ്ധ ചികിത്സക്കായി ഡോ. മൂപ്പൻസ് മെഡിക്കൽ കോളജിലേക്ക് അയക്കുകയായിരിന്നു.
ഡോ. ടി. ശ്രീനിവാസ് റെഡ്ഡി
സാധാരണയായി അന്യവസ്തുക്കൾ വിഴുങ്ങുമ്പോൾ തൊണ്ടയിൽനിന്ന് ഇറങ്ങി കഴിഞ്ഞാൽ അണുബാധ ഉണ്ടാകുന്നത് വരെ മറ്റു ലക്ഷണങ്ങളൊന്നും കാണിക്കാറില്ല.ഇത്തരം ഘട്ടങ്ങളിൽ ചെറുകുടലിന്റെ അകത്തേക്ക് ഇവ കടന്നാൽ എൻഡോസ്കോപ്പിയിലൂടെ നീക്കം ചെയ്യാൻ കഴിയാതെ വരുകയും തുറന്ന ശസ്ത്രക്രിയ ആവശ്യമായും വന്നേക്കാം.
കുട്ടികളുടെ സർജൻ പ്രഫ. വിനോദ് പ്രേം സിങ്, ഗാസ്ട്രോ സർജൻ ഡോ. കെ.വി. ശിവപ്രസാദ് എന്നിവരുടെ നിർദേശങ്ങളും അനസ്തേഷ്യ വിഭാഗത്തിലെ അസിസ്റ്റന്റ് പ്രഫ. ഡോ. ആരതി ബാലകൃഷ്ണൻ, എൻഡോസ്കോപ്പി ടെക്നീഷ്യൻമാരായ എ. അനഘ, കൃഷ്ണേന്ദു രാജേന്ദ്രൻ എന്നിവരുടെ സഹായങ്ങളും ശസ്ത്രക്രിയക്ക് ഉണ്ടായി. തീവ്ര പരിചരണ വിഭാഗത്തിൽ പ്രവേശിപ്പിച്ച കുട്ടി സുഖം പ്രാപിച്ചുവരുന്നു.
Don't miss the exclusive news, Stay updated
Subscribe to our Newsletter
By subscribing you agree to our Terms & Conditions.

