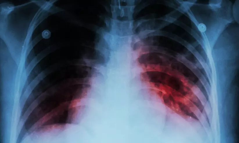
ജില്ലയില് 2157 ക്ഷയരോഗികൾ
text_fieldsതൃശൂര്: ജില്ലയില് 2157 ആളുകള്ക്ക് ക്ഷയരോഗം ബാധിച്ചതായി ആരോഗ്യവകുപ്പിന്റെ കണക്ക്. ഇവരില് 1419 ആളുകള് പുരുഷന്മാരും 738 പേര് സ്ത്രീകളും 54 പേര് കുട്ടികളുമാണ്. കൂടാതെ 157 മരണവും റിപ്പോര്ട്ട് ചെയ്തു. ശ്വാസകോശ ക്ഷയരോഗം ബാധിച്ചവരായി 1148ഉം, ശ്വാസകോശേതര ക്ഷയരോഗം 738 പേര്ക്കുമാണ് ബാധിച്ചത്.
രോഗം ബാധിച്ചവരില് കൂടുതലും മധ്യവയസിന് മുകളിലുള്ളവരാണെന്ന് ജില്ല ടി.ബി. ഓഫിസര് ഡോ. അജയ് രാജന് വാര്ത്തസമ്മേളനത്തില് പറഞ്ഞു. സംസ്ഥാനത്ത് 21799 പേരാണ് ക്ഷയരോഗബാധിതർ. 1959 മരണങ്ങളാണ് രോഗം മൂലം റിപ്പോര്ട്ട് ചെയ്യപ്പെട്ടത്. രാജ്യത്തെ ക്ഷയരോഗ ബാധിതര് 28 ലക്ഷമാണെന്നും കണക്കുകള് പറയുന്നു. 3,15,000 പേര് ക്ഷയരോഗം ബാധിച്ച് മരിച്ചിട്ടുണ്ട്. ശ്വാസകോശ ക്ഷയമാണ് ഏറ്റവുമധികം റിപ്പോര്ട്ട് ചെയ്യുന്നത്.
ജില്ലതല ക്യാമ്പ് ഇന്ന്
തൃശൂര്: ദേശീയ ക്ഷയരോഗ നിവാരണ പദ്ധതി 100 ദിന തീവ്ര ബോധവത്കരണ കാമ്പയിനിന്റെ ജില്ലതല ഉദ്ഘാടനം ശനിയാഴ്ച രാവിലെ 10ന് തൃശൂര് ടൗണ് ഹാളില് നടക്കും. കേന്ദ്രമന്ത്രി സുരേഷ് ഗോപി ഉദ്ഘാടനം ചെയ്യും. മേയര് എം.കെ. വര്ഗീസ്, ജില്ല പഞ്ചായത്ത് പ്രസിഡന്റ് വി.എസ്. പ്രിന്സ്, കലക്ടര് അര്ജുന് പാണ്ഡ്യന് എന്നിവര് സംബന്ധിക്കും. 100 ദിന പരിപാടിയുടെ ഭാഗമായുള്ള മെഡിക്കല് ക്യാമ്പ് ദിവ്യഹൃദയ ആശ്രമത്തില് നടക്കും. വാര്ത്തസമ്മേളനത്തില് ഡോ. ടി.എം. ശ്രീദേവി, അജയ് രാജ്, ഡോ. രേഖ ഗോപിനാഥ് എന്നിവര് സംബന്ധിച്ചു.
Don't miss the exclusive news, Stay updated
Subscribe to our Newsletter
By subscribing you agree to our Terms & Conditions.

