
ബ്ലാക്ക് ഫംഗസ് പകരില്ല, പേടി വേണ്ടെന്ന് ആരോഗ്യ വകുപ്പ്
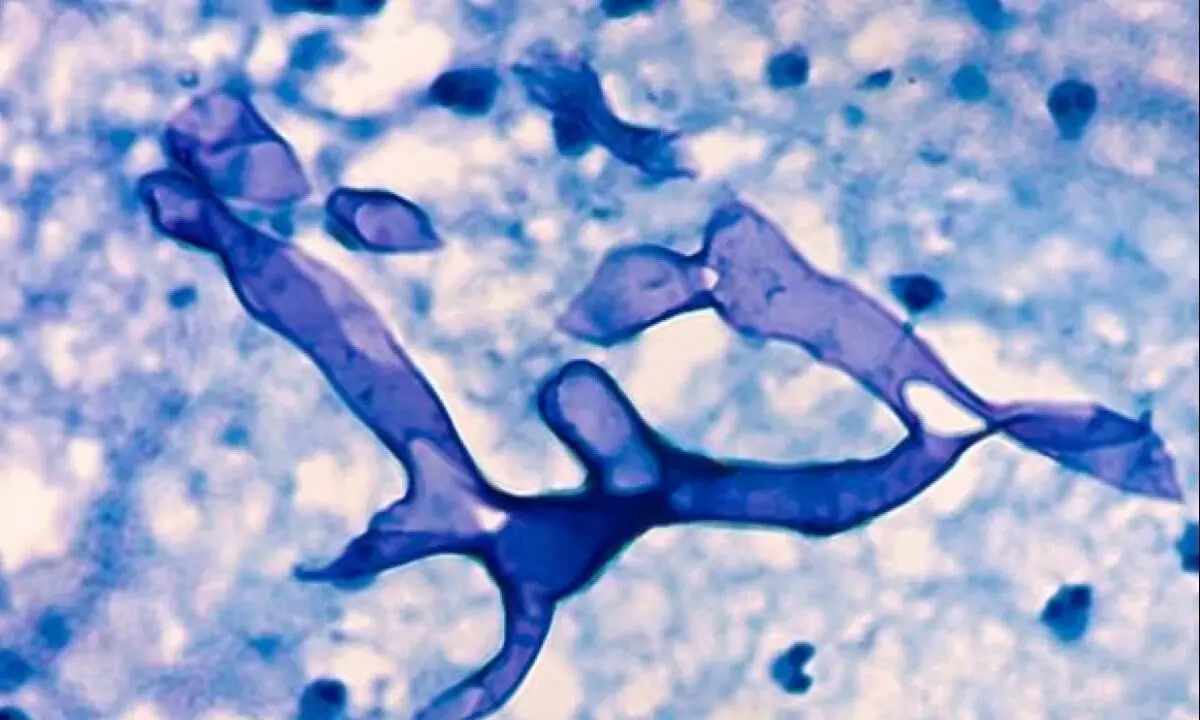
text_fieldsകോഴിക്കോട്: കോവിഡ് ബാധിതരിൽ കണ്ടുവരുന്ന മ്യൂകോര് മൈകോസിസ് അഥവാ ബ്ലാക്ക് ഫംഗസ് സംബന്ധിച്ച് ആരോഗ്യ വകുപ്പ് മാർഗനിർദേശം പുറത്തിറക്കി. പരിസ്ഥിതിയില് സ്വാഭാവികമായി കാണപ്പെടുന്ന മ്യൂക്കോമിസൈറ്റുകള് എന്നറിയപ്പെടുന്ന ഒരു കൂട്ടം പൂപ്പലുകള് മൂലമാണ് ഇത് പിടിപെടുന്നത്. പലപ്പോഴും ചര്മത്തില് പ്രത്യക്ഷപ്പെടുന്ന ഈ രോഗം ശ്വാസകോശത്തെയും തലച്ചോറിനെയും ബാധിക്കുന്നു.
കാഴ്ച നഷ്ടപ്പെടാനും പക്ഷാഘാതത്തിനും മരണത്തിനും വരെ കാരണമായേക്കാവുന്ന ഒന്നാണിത്. പ്രതിരോധ ശേഷി കുറഞ്ഞവര്, പ്രമേഹരോഗം അനിയന്ത്രിതമായ നിലയിലുള്ളവര്, കാൻസര് രോഗികൾ, അവയവമാറ്റം നടത്തിയവര്, ഐ.സി.യുവിൽ ദീര്ഘനാൾ കഴിഞ്ഞവര് എന്നിവരിലാണ് ഫംഗസ് ഭീഷണിയുള്ളത്.
സ്റ്റിറോയിഡുകളുടെ അമിത ഉപയോഗവും ഫംഗസിനു കാരണമായി കരുതുന്നു. മൂക്കിൽനിന്നും കറുത്ത നിറത്തിലോ രക്തം കലര്ന്നതോ ആയ സ്രവം വരിക, മൂക്ക് അടഞ്ഞതായോ തടസ്സം തോന്നുകയോ ചെയ്യുക, മുഖത്തിെൻറ ഒരു ഭാഗത്ത് വേദന, തരിപ്പ്, വീക്കം എന്നിവ ഉണ്ടാവുക, അണ്ണാക്ക്, മൂക്കിെൻറ പാലം എന്നിവിടങ്ങിൽ കറുപ്പ് കലര്ന്ന നിറവ്യത്യാസം, പല്ലുവേദന, പല്ല് കൊഴിയൽ, മങ്ങിയ കാഴ്ച, താടിയെല്ലിന് വേദന, തൊലിപ്പുറത്ത് ക്ഷതം, ശ്വാസമെടുക്കാൻ ബുദ്ധിമുട്ട്, നെഞ്ച് വേദന തുടങ്ങിയവ ബ്ലാക്ക് ഫംഗസിെൻറ ലക്ഷണങ്ങളാണ്.
പ്രതിരോധശേഷി കുറയുമ്പോഴാണ് പൊതുവെ ഈ രോഗം വരുന്നത്. ഇതിനാല് തന്നെ ശരീരത്തിെൻറ പ്രതിരോധ ശേഷി കൃത്യമായി നിലനിര്ത്തുകയെന്നത് പ്രധാനമാണ്. കോവിഡ് വന്നുമാറിയാലും ഇക്കാര്യത്തില് പ്രത്യേക ശ്രദ്ധ ആവശ്യമാണ്. പ്രമേഹത്തെ നിയന്ത്രിക്കുക, സ്റ്റിറോയിഡുകളും ആൻറിബയോട്ടിക്കുകളും ഉപയോഗിക്കുന്നവര് കൃത്യമായ അളവിലും ഇടവേളകളിലും ഉപയോഗിക്കണം.
ആവിപിടിക്കുമ്പോൾ ശുദ്ധമായ വെള്ളം ഉപയോഗിക്കുക. പ്രതിരോധശേഷി വർധിപ്പിക്കുന്ന ഭക്ഷണങ്ങളും വ്യക്തി ശുചിത്വം പാലിക്കലും മാസ്കുമുള്പ്പെടെ കരുതലുകള് അത്യാവശ്യമാണ്. ഇത്തരം കോവിഡാനന്തര ബുദ്ധിമുട്ടുകള് നിസാരമായി തള്ളാതെ ഉടന് തന്നെ ചികിത്സ തേടണം. പെട്ടെന്നു തന്നെ ചികിത്സ തേടിയാല് കാര്യങ്ങള് ഗുരുതരമാകാതെ സൂക്ഷിക്കാം. ഇത് പകരുന്ന രോഗമല്ല. ഇതിനാല് തന്നെ പകര്ച്ചവ്യാധി ഭയം വേണ്ടെന്നും ആരോഗ്യ വകുപ്പ് വ്യക്തമാക്കി.
Don't miss the exclusive news, Stay updated
Subscribe to our Newsletter
By subscribing you agree to our Terms & Conditions.
