ഒമ്പത് വർഷമായി വയറ്റിൽ വളർന്നത് 'സ്റ്റോൺ ബേബി'; അപൂർവ രോഗാവസ്ഥയിൽ 50കാരിക്ക് ദാരുണാന്ത്യം
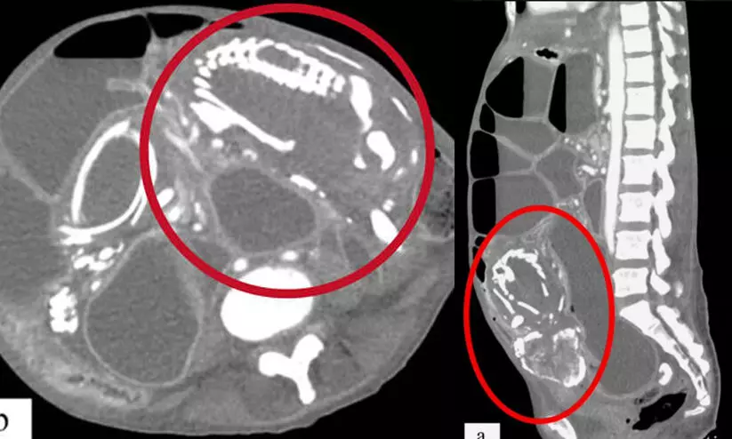
text_fieldsവയറ്റിനുള്ളിൽ വെച്ച് ജീവൻ നഷ്ടമാകുന്ന ഭ്രൂണം പിന്നീട് കാൽസ്യം നിക്ഷേപം സംഭവിച്ച് കല്ലിന് സമാനമാകുന്ന (സ്റ്റോൺ ബേബി) അപൂർവമായ രോഗാവസ്ഥയിൽ യു.എസിൽ 50കാരി മരിച്ചു. ടാൻസാനിയയിൽ നിന്നുള്ള അഭയാർഥിയായ സ്ത്രീയാണ് മരിച്ചത്. കല്ലിന് സമാനമാകുന്ന ഭ്രൂണം 'ലിത്തോപീഡിയൻ' എന്നാണ് അറിയപ്പെടുന്നത്. അപൂർവങ്ങളിൽ അപൂർവമായ അവസ്ഥയാണ് ഇതെന്ന് ഡോക്ടർമാർ ചൂണ്ടിക്കാട്ടുന്നു.
സ്ത്രീയുടെ വയറ്റിൽ വളർന്ന ഭ്രൂണത്തിന് ഒമ്പത് വർഷം മുമ്പ് ടാൻസാനിയയിൽ വെച്ച് തന്നെ ജീവൻ നഷ്ടമായിരുന്നു. കടുത്ത വയറുവേദനയും അസ്വസ്ഥതകളും മറ്റ് ഉദരരോഗങ്ങളും അനുഭവപ്പെട്ടെങ്കിലും അജ്ഞതയും ഭയവും കാരണം ഇവർ കൃത്യമായ ചികിത്സ തേടിയില്ല. പിന്നീട് യു.എസിൽ കുടിയേറിയ ശേഷം നടത്തിയ പരിശോധനയിലാണ് വയറ്റിൽ 'ലിത്തോപീഡിയൻ' ആണെന്ന് കണ്ടെത്തിയത്. ശസ്ത്രക്രിയയിലൂടെ ഇത് പുറത്തെടുക്കണമെന്ന് ഡോക്ടർമാർ നിർദേശിച്ചെങ്കിലും, ശസ്ത്രക്രിയയോടുള്ള ഭയം കാരണം ഇവർ തയാറായില്ല. രോഗം കലശലായതോടെ മലവിസർജനം ഉൾപ്പെടെ തടസപ്പെടുകയും കടുത്ത പോഷകാഹാരക്കുറവും മറ്റ് അസുഖങ്ങളും കാരണം സ്ത്രീ മരിക്കുകയായിരുന്നുവെന്ന് അധികൃതർ വ്യക്തമാക്കി.
ഭ്രൂണം വയറ്റിനുള്ളിൽ മരിക്കുന്ന സാഹചര്യമാണ് 'സ്റ്റോൺ ബേബി'യിലേക്ക് നയിക്കുന്നതെന്ന് ഡോക്ടർമാർ ചൂണ്ടിക്കാട്ടുന്നു. മതിയായ ആരോഗ്യപരിചരണ സംവിധാനങ്ങളുടെയും ബോധവത്കരണത്തിന്റെയും കുറവാണ് ഈ അവസ്ഥക്ക് കാരണം. അജ്ഞതയും ഭയവും കാരണം സാഹചര്യം ഗുരുതരമാകുകയും ചെയ്തു.
ലോകത്ത് ഇതുവരെ 300ൽ താഴെ ലിത്തോപീഡിയൻ കേസുകൾ റിപ്പോർട്ട് ചെയ്തതായാണ് കണക്ക്. ജീവൻ നഷ്ടമാകുന്ന ഭ്രൂണത്തെ ശരീരത്തിന് തിരികെ ആഗിരണം ചെയ്തെടുക്കാൻ കഴിയാതെവരുമ്പോൾ, ശരീരത്തിലെ രോഗപ്രതിരോധ സംവിധാനം ഇതിനെ പുറത്തുനിന്ന് എത്തിയ വസ്തുവായാണ് കണക്കാകുക. തുടർന്ന് ഇതിന്റെ മേൽ കാൽസ്യം നിക്ഷേപം നടക്കുകയും ഭ്രൂണം കല്ലിന് സമാനമായ അവസ്ഥയിലേക്ക് മാറുകയും ചെയ്യുന്നു.
സ്ത്രീയുടെ വയറിൽ ലിത്തോപീഡിയൻ കണ്ടെത്തുകയും ശസ്ത്രക്രിയയിലൂടെ പുറത്തെടുക്കുകയും ചെയ്ത സംഭവങ്ങൾ സമീപകാലത്ത് ഉൾപ്പെടെ റിപ്പോർട്ട് ചെയ്തിട്ടുണ്ട്. കഴിഞ്ഞ വർഷം 73 വയസ്സുള്ള ഒരു അൾജീരിയൻ സ്ത്രീയുടെ വയറിൽ 35 വർഷമായി വളർന്ന സ്റ്റോൺ ബേബിയെ ശസ്ത്രക്രിയയിലൂടെ പുറത്തെടുത്തിരുന്നു.
Don't miss the exclusive news, Stay updated
Subscribe to our Newsletter
By subscribing you agree to our Terms & Conditions.

