
കോവിഡ് രോഗികളിലെ ബ്ലാക്ക് ഫംഗസ് റിപ്പോർട്ട് ചെയ്യാനാവശ്യപ്പെട്ട് ഹരിയാന
text_fieldsഛണ്ഡീഗഢ്: കോവിഡ് രോഗികളിൽ കാണുന്ന ബ്ലാക്ക് ഫംഗസ് റിപ്പോർട്ട് ചെയ്യാനാവശ്യപ്പെട്ട് ഹരിയാന സർക്കാർ. ഈ രോഗവുമായിട്ട് ബന്ധപ്പെട്ട് കേസുകൾ കണ്ടെത്തിയാൽ ഡോക്ടർമാർ ബന്ധപ്പെട്ട ചീഫ് മെഡിക്കൽ ഓഫിസർക്ക് റിപ്പോർട്ട് നൽകണമെന്ന് ഹരിയാന ആരോഗ്യമന്ത്രി അനിൽ വിജ് പറഞ്ഞു.
ഏതെങ്കിലും സർക്കാർ, സ്വകാര്യ ആശുപത്രിയിൽ രോഗിക്ക് ബ്ലാക്ക് ഫംഗസ് ഉണ്ടെന്ന് കണ്ടെത്തിയാൽ അത് ബന്ധപ്പെട്ട ജില്ലയിലെ സി.എം.ഒയെ അറിയിക്കണം. ഇതുവഴി രോഗം തടയാൻ ഉചിതമായ നടപടി കൈക്കൊള്ളാമെന്നും മന്ത്രി പറഞ്ഞു.
സംസ്ഥാനത്ത് കോവിഡ് രോഗികളെ ചികിത്സിക്കുന്ന എല്ലാ ഡോക്ടർമാരുമായും വിഡിയോ കോൺഫറൻസിലൂടെ റോഹ്തക് പി.ജി.എം.എസിലെ മുതിർന്ന ഡോക്ടർമാർ യോഗങ്ങൾ നടത്തുകയും ബ്ലാക്ക് ഫംഗസ് ചികിത്സയെക്കുറിച്ച് വിശദീകരിക്കുകയും ചെയ്തിട്ടുണ്ട്.
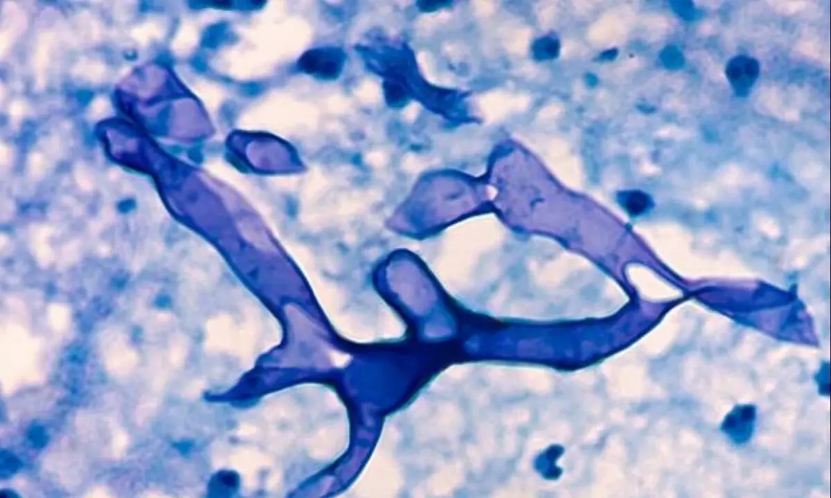
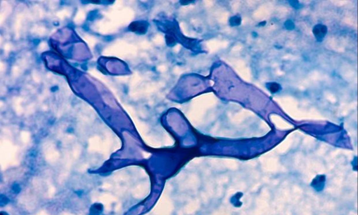
കോവിഡ് വന്ന് മാറിയവരിലും മാറിക്കൊണ്ടിരിക്കുന്നവരിലുമാണ് പ്രത്യേക ഫംഗസ് രോഗബാധയായ ബ്ലാക്ക് ഫംഗസ് (മ്യൂക്കോർമൈക്കോസിസ്) കണ്ടെത്തിയിരിക്കുന്നത്. പ്രത്യേകിച്ച് പ്രമേഹ രോഗികളിലാണ് ഇത് കാണുന്നത്. ചികിത്സിച്ചില്ലെങ്കിൽ ഗുരുതരമായേക്കാവുന്ന ഫംഗസ് ബാധയാണിത്.
ഫംഗസ് ശ്വസനവായുവിലൂടെ ഉള്ളിലെത്തി സൈനസ് അറകൾ, ശ്വാസകോശം, നെഞ്ചിെൻറ അറകൾ എന്നിവിടങ്ങളിൽ വ്യാപിക്കുന്നതിലൂടെയാണ് രോഗമുണ്ടാകുന്നത്. കോവിഡ് ചികിത്സയുടെ ഭാഗമായി സ്റ്റിറോയ്ഡ് മരുന്നുകൾ കൂടുതൽ ഉപയോഗിക്കുന്നതുകൊണ്ടാണ് രോഗം വരുന്നതെന്നും ചില മെഡിക്കൽ വിദഗ്ധർ അഭിപ്രായപ്പെടുന്നു.
കടുത്ത തലവേദന, കാഴ്ച മങ്ങൽ, കണ്ണിൽ നീര്, കണ്ണുചുവക്കൽ, കൺതടത്തിൽ കറുപ്പ്, മുഖത്ത് നീര്, മുഖത്ത് വേദന, മൂക്കിെൻറ പാലത്തിന് കറുത്ത നിറം, മാനസികാസ്വാസ്ഥ്യം എന്നിവയാണ് ഇതിെൻറ ലക്ഷണങ്ങൾ.
Don't miss the exclusive news, Stay updated
Subscribe to our Newsletter
By subscribing you agree to our Terms & Conditions.
