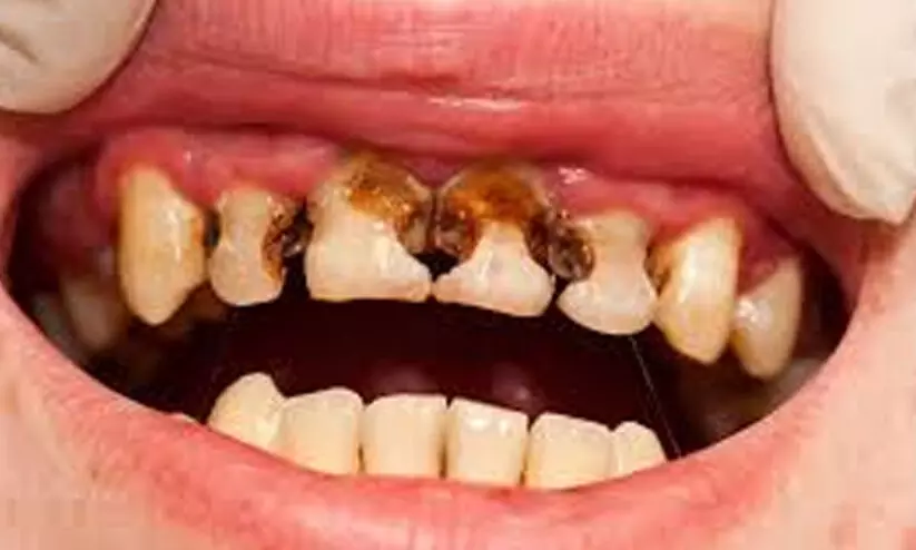
പുഴുപ്പല്ല് വരാതിരിക്കാൻ ഡോക്ടർമാർ ഒഴിവാക്കണമെന്ന് നിർദേശിക്കുന്ന ഭക്ഷണങ്ങൾ
text_fieldsപുഴുപ്പല്ലിനെക്കുറിച്ച് പറയുമ്പോൾ തന്നെ നമ്മൾ ആദ്യം കുറ്റപ്പെടുത്തുക മധുരത്തിനെയാണ്. ഇത് ഒരു പരിധി വരെ ശരിയാണ് താനും. എന്നാൽ മധുരമുള്ള ഭക്ഷണങ്ങൾ മാത്രമല്ല പുഴുപ്പല്ലിന് കാരണം.ഭക്ഷണത്തിലെ പഞ്ചസാരയിലൂടെ വളരുന്ന ബാക്ടീരിയകൾ ഉൽപ്പാദിപ്പിക്കുന്ന ആസിഡുകൾ പല്ലിന്റെ ഇനാമലിനെ നശിപ്പിക്കുമ്പോഴാണ് പുഴുപ്പല്ല് ഉണ്ടാകുന്നത്.
നാം എന്ത് കഴിക്കുന്നു, എപ്പോഴൊക്കെ കഴിക്കുന്നു, ദന്ത സംരക്ഷണം ഇവയെല്ലാം ദന്താരോഗ്യത്തെ സ്വാധീനിക്കുന്ന ഘടകങ്ങളാണ്. ചില ഭക്ഷണ പദാർഥങ്ങൾ പൂർണമായും ഒഴിവാക്കുന്നത് ദന്തക്ഷയം ഇല്ലാതാക്കുമെന്നാണ് ദന്തഡോക്ടർമാർ പറയുന്നത്.
പുഴുപ്പല്ലിന് കാരണമാകുന്ന ഭക്ഷണങ്ങൾ
ഒട്ടിപ്പിടിക്കുന്നതും മധുരമുള്ളതും
ചോക്ലേറ്റ്, മിട്ടായികൾ, കാരമലുകൾ, ഡ്രൈഡ് ഫ്രൂട്ടുകൾ തുടങ്ങിയവയൊക്കെ ഏറെനാൾ പല്ലിൽ ഒട്ടിപ്പിടിച്ചിരിക്കുന്നവയാണ്. ബാക്ടീരിയ വളരാൻ കാരണമാകുന്ന ഈ ഭക്ഷണങ്ങൾ ഒഴിവാക്കണമെന്നാണ് ഡെന്റിസ്റ്റുകൾ പറയുന്നത്.
സംസ്കരിച്ച ഭക്ഷണങ്ങൾ
ഉയർന്ന അളവിൽ സംസ്കരിച്ച ബ്രെഡ്, ചിപ്സ്, ബിസ്കറ്റ് പോലുള്ള ഭക്ഷണ പദാർഥങ്ങൾ പഞ്ചസാരയുമായി വേഗം വിഘടിക്കുകയും ദന്ത ക്ഷയത്തിലേക്ക് നയിക്കുകയും ചെയ്യും
മധുര പാനീയങ്ങൾ
കാർബണേറ്റഡ് പാനീയങ്ങൾ, പാക്കേജ്ഡ് ജ്യൂസുകൾ, സ്പോർട്സ് ഡ്രിങ്കുകൾ എന്നിവ ഉയർന്ന പഞ്ചസാരയും കുറഞ്ഞ പി.എച്ചും ഉള്ളവ ആയതിനാൽ അപകടം ഇരട്ടിയാക്കുന്നു. ഇത്തരം പാനീയങ്ങൾ സ്ഥിരമായി കുടിക്കുന്നത് ദന്ത ക്ഷയം വർധിപ്പിക്കും.
മധുര പലഹാരങ്ങൾ മാത്രമല്ല
മധുരമുള്ള ഭക്ഷണം മാത്രമല്ല പല്ലിനെ കേടാക്കുന്നത്. ഫ്ലേവേർഡ് യോഗർട്ടുകൾ, കെച്ച് അപ്പ്, എനർജി ബാറുകൾ, പ്രഭാത ഭക്ഷണത്തിന് കഴിക്കുന്ന ധാന്യങ്ങൾ പോലും പല്ലിന്റെ ആരോഗ്യത്തെ ബാധിക്കുന്നതാണ്. അപകടകാരിയെന്ന് കരുതാത്ത സോസുകളും സുഗന്ധ വ്യജ്ഞനങ്ങൾ പോലും വായ്ക്കുള്ളിലെ ആസിഡ് ഉൽപ്പാദനത്തിന് കാരണമാകും. അതുകൊണ്ട് തന്നെ ഇത്തരം ഭക്ഷണ പദാർഥങ്ങൾ കഴിക്കുമ്പോൾ അവയുടെ ലേബൽ കൃത്യമായി വായിച്ച് പഞ്ചസാരയുടെ ഘടകങ്ങൾ ഉണ്ടോ എന്ന് കൃത്യമായി മനസ്സിലാക്കണമെന്ന് ഡെന്റിസ്റ്റ് നിർദേശിക്കുന്നു.
ഏത് ഭക്ഷണമാണ് പല്ലുകൾക്ക് നല്ലത്
ആപ്പിൾ, വെള്ളരിക്ക, കാരറ്റ് തുടങ്ങിയ പഴങ്ങളും പച്ചക്കറിയും കഴിക്കുന്നത് സലൈവ ഉൽപ്പാദനം വർധിപ്പിക്കുകയും ഇതുവഴി പല്ലുകൾ സ്വാഭാവികമായി വൃത്തിയാവുകയും ചെയ്തു. ചീസും പ്ലെയിൻ യോഗർട്ടും ഇനാമലിനെ ശക്തിപ്പെടുത്തുന്നതിന് ഫോസ്ഫേറ്റും, കാൽഷ്യവും പ്രധാനം ചെയ്യുന്നു. പരിപ്പുകളും, ധാന്യങ്ങളും കഴിക്കുന്നതും ധാരാളം വെള്ളം കുടിക്കുന്നതും പല്ലുകളുടെ ആരോഗ്യത്തിന് ഗുണം ചെയ്യും.
എങ്ങനെ കഴിക്കണം
എന്ത് കഴിക്കണമെന്നല്ല, എങ്ങനെ കഴിക്കണമെന്നതിലാണ് കാര്യമെന്ന് ഡെന്റിസ്റ്റ് പറയുന്നു. ചില ഭക്ഷണങ്ങൾ ദന്ത ക്ഷയത്തിന് കാരണമാകും. ഇടക്കിടെ ലഘു ഭക്ഷണമായി കഴിക്കുന്നതിനു പകരം മുഖ്യ ഭക്ഷണത്തിനു ശേഷം മധുരം കഴിക്കുന്നത് പല്ലുകൾ ആസിഡുമായി പ്രതിപ്രവർത്തിക്കുന്നതിന്റെ സമയം കുറക്കാൻ സഹായിക്കും. അസിഡിക് അല്ലെങ്കിൽ പഞ്ചസാര അടങ്ങിയ ഭക്ഷണങ്ങൾ ഫൈബർ അടങ്ങിയ ഭക്ഷണത്തിനൊപ്പമോ വെള്ളത്തിനൊപ്പമോ കഴിക്കുന്നത് പല്ലുകൾ ആസിഡുമായി പ്രവർത്തിക്കുന്നത് തടയും.
ഫ്ലൂറോയ്ഡ് ടൂത്ത് പേസ്റ്റ് ഉപയോഗിച്ച് ബ്രഷ് ചെയ്യുന്നതും കൃത്യമായ ഇടവേളകളിൽ ഡെന്റിസ്റ്റിനെ കാണുന്നതും പല്ലുകളുടെ ആരോഗ്യത്തിന് നല്ലതാണ്.
Don't miss the exclusive news, Stay updated
Subscribe to our Newsletter
By subscribing you agree to our Terms & Conditions.

