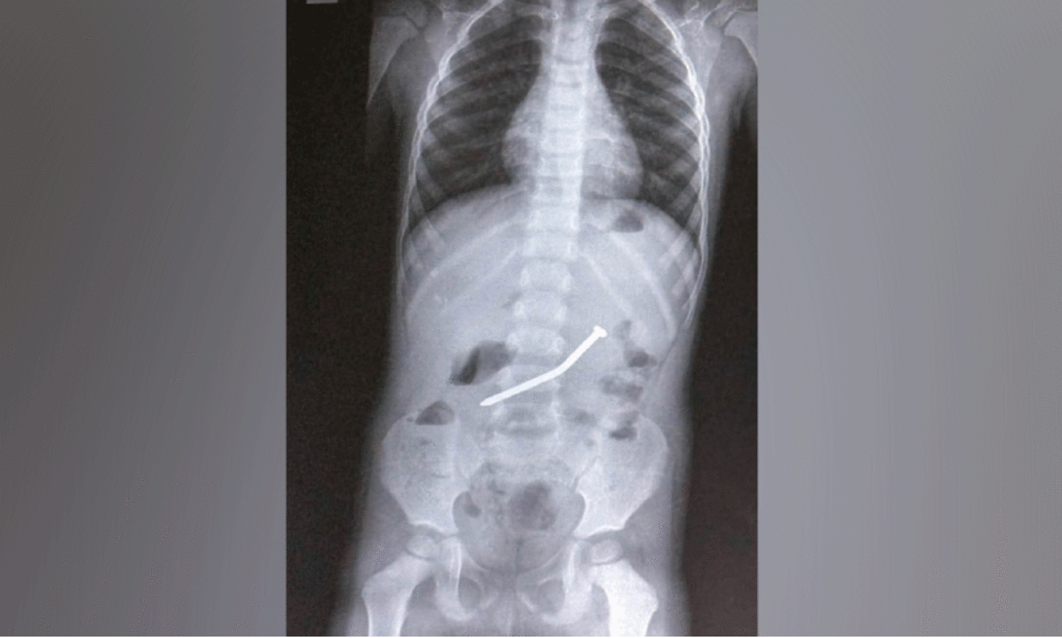
കു​ട്ടി​യു​ടെ ചെ​റു​കു​ട​ലി​ൽ ര​ണ്ട​ര ഇ​ഞ്ച് നീ​ള​മു​ള്ള ആ​ണി

കു​ഞ്ഞ് വി​ഴു​ങ്ങി​യ ര​ണ്ട​ര ഇ​ഞ്ചിന്റെ ആ​ണി പു​റ​ത്തെ​ടു​ത്തു

മേ​പ്പാ​ടി: മു​ട്ടി​ൽ കു​ട്ട​മം​ഗ​ലം സ്വ​ദേ​ശി​ക​ളാ​യ ദ​മ്പ​തി​മാ​രു​ടെ ര​ണ്ട​ര വ​യ​സു​കാ​ര​ന്റെ വ​യ​റ്റി​ൽ അ​ക​പ്പെ​ട്ട ര​ണ്ട​ര ഇ​ഞ്ച് നീ​ള​മു​ള്ള വ​ണ്ണം കൂ​ടി​യ ഇ​രു​മ്പാ​ണി വി​ജ​യ​ക​ര​മാ​യി പു​റ​ത്തെ​ടു​ത്തു.ഡോ. ​മൂ​പ്പ​ൻ​സ് മെ​ഡി​ക്ക​ൽ കോ​ള​ജ് ഉ​ദ​ര-​ക​ര​ൾ രോ​ഗ വി​ഭാ​ഗം (ഗാ​സ്ട്രോ എ​ന്റ​റോ​ള​ജി) സീ​നി​യ​ർ സ്പെ​ഷ​ലി​സ്റ്റ് ഡോ.​ടി. ശ്രീ​നി​വാ​സ് റെ​ഡ്ഢിയാണ് ചെ​റു​കു​ട​ലി​ന്റെ തു​ട​ക്ക ഭാ​ഗ​ത്ത്(​ഡി​യോ​ഡി​നം) കു​ത്തി നി​ന്ന ആ​ണി എ​ൻ​ഡോ​സ്കോ​പ്പി​ലൂ​ടെ പു​റ​ത്തെ​ടു​ത്ത​ത്.

വീ​ട്ടി​ൽ ക​ളി​ച്ചു കൊ​ണ്ടി​രു​ന്ന കു​ട്ടി കൈ​യി​ൽ കി​ട്ടി​യ ആ​ണി വി​ഴു​ങ്ങു​ക​യാ​യി​രു​ന്നു. ഇ​ത് ക​ണ്ട മൂ​ത്ത കു​ട്ടി​യാ​ണ് മാ​താ​പി​താ​ക്ക​ളോ​ട് വി​വ​രം പ​റ​ഞ്ഞ​ത്. പി​ന്നീ​ട് പ​നി​യു​ടെ ല​ക്ഷ​ണ​ങ്ങ​ളോ​ടെ ക​ൽ​പ്പ​റ്റ ജ​ന​റ​ൽ ആ​ശു​പ​ത്രി​യി​ൽ പ്ര​വേ​ശി​പ്പി​ച്ച കു​ട്ടി​യു​ടെ എ​ക്സ്റേ വീ​ണ്ടു​മെ​ടു​ത്ത​പ്പോ​ൾ നേ​ര​ത്തേ ക​ണ്ട സ്ഥ​ല​ത്തു​നി​ന്നും ആ​ണി​യു​ടെ സ്ഥാ​നം മാ​റാ​ത്ത​തി​നെ തു​ട​ർ​ന്ന് വി​ദ​ഗ്ധ ചി​കി​ത്സ​ക്കാ​യി ഡോ. ​മൂ​പ്പ​ൻ​സ് മെ​ഡി​ക്ക​ൽ കോ​ള​ജി​ലേ​ക്ക് അ​യ​ക്കു​ക​യാ​യി​രി​ന്നു.

ഡോ. ​ടി. ശ്രീ​നി​വാ​സ് റെ​ഡ്ഡി

സാ​ധാ​ര​ണ​യാ​യി അ​ന്യവ​സ്തു​ക്ക​ൾ വി​ഴു​ങ്ങു​മ്പോ​ൾ തൊ​ണ്ട​യി​ൽ​നി​ന്ന് ഇ​റ​ങ്ങി ക​ഴി​ഞ്ഞാ​ൽ അ​ണു​ബാ​ധ ഉ​ണ്ടാ​കു​ന്ന​ത് വ​രെ മ​റ്റു ല​ക്ഷ​ണ​ങ്ങ​ളൊ​ന്നും കാ​ണി​ക്കാ​റി​ല്ല.ഇ​ത്ത​രം ഘ​ട്ട​ങ്ങ​ളി​ൽ ചെ​റു​കു​ട​ലി​ന്റെ അ​ക​ത്തേ​ക്ക് ഇ​വ ക​ട​ന്നാ​ൽ എ​ൻ​ഡോ​സ്കോ​പ്പി​യി​ലൂ​ടെ നീ​ക്കം ചെ​യ്യാ​ൻ ക​ഴി​യാ​തെ വ​രുക​യും തു​റ​ന്ന ശ​സ്ത്ര​ക്രി​യ ആ​വ​ശ്യ​മാ​യും വ​ന്നേ​ക്കാം.

കു​ട്ടി​ക​ളു​ടെ സ​ർ​ജ​ൻ പ്ര​ഫ. വി​നോ​ദ് പ്രേം ​സിങ്, ഗാ​സ്ട്രോ സ​ർ​ജ​ൻ ഡോ. ​കെ.​വി. ശി​വ​പ്ര​സാ​ദ് എ​ന്നി​വ​രു​ടെ നി​ർ​ദേ​ശ​ങ്ങ​ളും അ​ന​സ്തേ​ഷ്യ വി​ഭാ​ഗ​ത്തി​ലെ അ​സി​സ്റ്റ​ന്റ് പ്ര​ഫ. ഡോ. ​ആ​ര​തി ബാ​ല​കൃ​ഷ്ണ​ൻ, എ​ൻ​ഡോ​സ്കോ​പ്പി ടെ​ക്‌​നീ​ഷ്യ​ൻ​മാ​രാ​യ എ. ​അ​ന​ഘ, കൃ​ഷ്ണേ​ന്ദു രാ​ജേ​ന്ദ്ര​ൻ എ​ന്നി​വ​രുടെ സഹായങ്ങളും ശസ്ത്രക്രിയക്ക് ഉണ്ടായി. തീ​വ്ര പ​രി​ച​ര​ണ വി​ഭാ​ഗ​ത്തി​ൽ പ്ര​വേ​ശി​പ്പി​ച്ച കു​ട്ടി സു​ഖം പ്രാ​പി​ച്ചു​വ​രു​ന്നു.

Tags:    
News Summary - Swallowed nail successfully removed from child stomach

വായനക്കാരുടെ അഭിപ്രായങ്ങള്‍ അവരുടേത്​ മാത്രമാണ്​, മാധ്യമത്തി​േൻറതല്ല. പ്രതികരണങ്ങളിൽ വിദ്വേഷവും വെറുപ്പും കലരാതെ സൂക്ഷിക്കുക. സ്​പർധ വളർത്തുന്നതോ അധിക്ഷേപമാകുന്നതോ അശ്ലീലം കലർന്നതോ ആയ പ്രതികരണങ്ങൾ സൈബർ നിയമപ്രകാരം ശിക്ഷാർഹമാണ്​. അത്തരം പ്രതികരണങ്ങൾ നിയമനടപടി നേരിടേണ്ടി വരും.