ARCHIVE SiteMap 2023-03-10
മുസ്ലിം വിരുദ്ധത മാത്രമാണ് ആര്.എസ്.എസിന്റെ ഇന്ധനം
ബ്രഹ്മപുരം വിഷയത്തിൽ കേന്ദ്ര ഇടപെടൽ ആവശ്യപ്പെട്ട് കെ. സുരേന്ദ്രൻ കത്തയച്ചു
സ്വപ്നയുടെ വെളിപ്പെടുത്തൽ: അവിശ്വസിക്കേണ്ടതില്ലെന്ന് വി.ഡി സതീശൻ
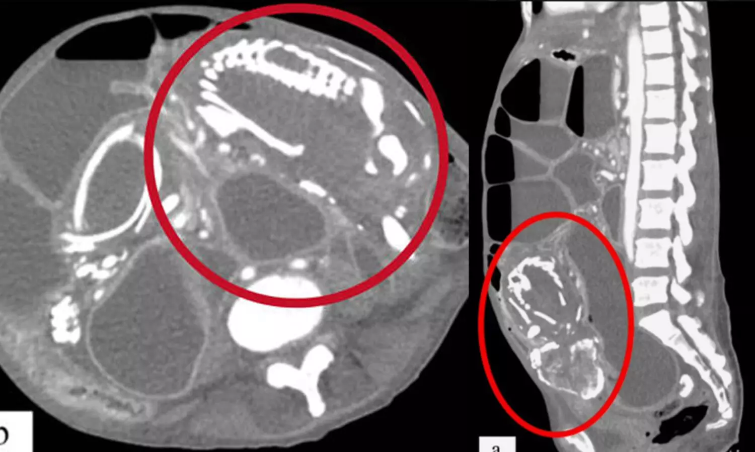
ഒമ്പത് വർഷമായി വയറ്റിൽ വളർന്നത് 'സ്റ്റോൺ ബേബി'; അപൂർവ രോഗാവസ്ഥയിൽ 50കാരിക്ക് ദാരുണാന്ത്യം
കക്കുകളി നാടകം: വിവാദം നഗരസഭയുടെ അജണ്ടയല്ലെന്ന് ചെയര്മാന് എം. കൃഷ്ണദാസ്
ബ്രഹ്മപുരത്തെ 80 ശതമാനം തീയും പുകയും അണക്കാൻ കഴിഞ്ഞുവെന്ന് മന്ത്രിമാർ
ഞാൻ കൊണ്ടുപോയി ചികിത്സിച്ചേനെ, ഹനീഫിക്കയുടെ വിയോഗത്തിൽ പൊട്ടിക്കരഞ്ഞു കൊണ്ട് മമ്മൂട്ടി പറഞ്ഞു -മുകേഷ്
ആറ് വിക്കറ്റുമായി അശ്വിൻ; ആസ്ട്രേലിയ 480ന് പുറത്ത്
മാധ്യമപ്രവർത്തകനെ ബിൻ ലാദനോട് ഉപമിച്ചിട്ടില്ല -എം.വി ജയരാജൻ
ബ്രഹ്മപുരം തീപിടിത്തം: മുഖ്യമന്ത്രിയുടെ ഓഫീസ് സ്വന്തക്കാരെ രക്ഷിക്കാന് ശ്രമിക്കുന്നുവെന്ന് വി.ഡി സതീശൻ
സി.പി.എം ഏരിയ സെക്രട്ടറിയുടെ നേതൃത്വത്തിൽ വീട് കയറി ആക്രമിച്ചെന്ന് മുന് ഡി.വൈ.എഫ്.ഐ നേതാവിന്റെ പരാതി
'മോൺസ്റ്റർ റാബിറ്റ് ഹണി', 'കിങ് മൂഡ്' ഉൽപന്നങ്ങൾക്ക് യു.എ.ഇയിൽ വിലക്ക്